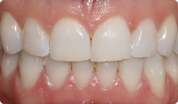
"Usynlig" planlagt og effektiv ortodonti – for æstetiske løsninger. Right er vores første kosmetiske ortodontiske behandling. Designet så tandlægen, med støtte fra Right Centre og baseret på designet af det nye smil, kan udføre de præcise bevægelser for at opnå den mest nøjagtige og effektive behandling muligt.
Download Right-brochuren.
Skift til præcision
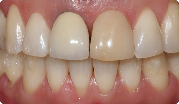
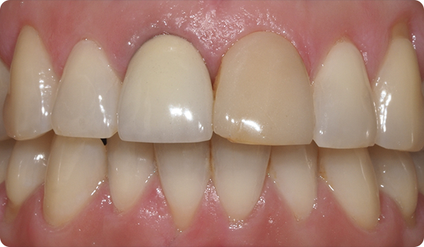
Designet til protetikere. Med små bevægelser korrigeres malpositioner og forbereder den mest egnede og konservative æstetiske behandling for dine patienter.
En plan til din tjeneste
Behandlingen er designet til at blive udført uden komplikationer, henvisninger eller lange processer, med konstant support fra Right Centre, som består af ortodontister og et specialiseret teknisk rådgivningsteam.
Forudsigelighed
Med en digital behandling, der er nøje planlagt og kontrolleret, er protokollerne klare og nemme at implementere. Ingen komplikationer opstår, hvilket sikrer en gnidningsfri behandling og muligheden for at justere i tilfælde af afvigelser fra de forventede resultater og tidsrammer.
Tjeneste leveret af Right Centre og Right Trimester behandlingsenhed. Inkluderer et kvartalsvist opfølgningsbesøg for at sikre en vellykket behandling.


RM
Right Month
Op til én måned. Bruges til finjusteringer.


R1
Op til 3 måneder
Enkle behandlinger: små bevægelser op til 1 mm og 15º rotation.


R2
Op til 6 måneder
Enkle behandlinger: små bevægelser op til 2 mm og 30º rotation.


R3
Op til 9 måneder
Mildere behandlinger: små bevægelser op til 3 mm og 40º rotation.


R4
Op til 12 måneder
Mildere behandlinger: små bevægelser op til 3 mm og 50º rotation.
RR
Right Retainer
Aftagelig retentionsskinne til at afslutte behandlingen.

Arbejdsproces
Klinikken sender tre billeder og STL-filen fra en scanning via Corus Link for at evaluere sagen.
Evaluering: Vi sender det indledende overslag og behandlingsplanen inden for fem til syv arbejdsdage efter modtagelsen af billederne og STL-filen.
På dette trin foretager tandlægen, med støtte fra vores team af ortodontiske planlæggere, de nødvendige justeringer, før planen valideres.
* Planen medfører en omkostning for klinikken, hvis behandlingen ikke gennemføres.
Endelig plan og fremstilling
Den endelige validerede behandlingsplan, inklusive en rapport og videoer, genereres, og Right Centre påbegynder fremstillingen af behandlingen.
RT – Behandlingsenhed
Klinikken modtager Right Clinic Set til den første RT cirka fem arbejdsdage efter godkendelsen af behandlingen. Efterfølgende RT-enheder sendes til klinikken, når opfølgningen fra den foregående RT er modtaget.
Patienten modtager også sit Right Set i starten af behandlingen.
Kvartalsopfølgning
Ved afslutningen af hver RT sender klinikken en scanning for at kontrollere, om behandlingsenheden er afsluttet. Hvis ja, sender Right Centre den næste RT. Hvis nej, omplanlægges den resterende behandling for at sikre, at den planlagte varighed af hele behandlingen overholdes.
Endelig evaluering
Når den sidste RT er afsluttet, sender klinikken den afsluttende opfølgning for at afslutte Right-behandlingen og fortsætte med Right Retainer.
Right Retainer
Right Centre fremstiller det aftagelige retentionssystem, Right Retainer.
Efter en Right-behandling skal vi bevare patientens smil og forhindre, at tænderne vender tilbage til deres tidligere position.
Den endelige opfølgning på Right-behandlingen giver os mulighed for at fremstille retentionssystemet, Right Retainer.
Din patient modtager:



Smil på plads
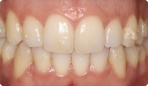
Med Right får dine patienter det smil, de ønsker, inden for den ønskede tid, på en komfortabel og "usynlig" måde.
Start Right
At justere tænder med Right er den perfekte og mest skånsomme forberedelse til fremtidig tandblegning eller facadebehandlinger, der vil perfektionere patientens smil.
Total tillid og garanti
Der findes ingen bedre end dig til at følge dine patienter gennem hele forløbet af deres behandling mod et nyt smil. Du er deres betroede tandlæge.
Alt under kontrol
Med Right Centre og det digitale arbejdsflow har vi fuld kontrol over udviklingen af ortodontibehandlingen, hvilket sikrer de fastsatte tidsrammer eller muliggør justeringer, hvis nødvendigt.
Informationen
Vi stiller brochurer til rådighed, som du kan give til dine patienter. Ved at læse dem opnår de en bedre forståelse af behandlingen og en højere værdi af den.
For din patient
Sammen med deres Right-aligners får dine patienter et opbevaringsetui, et specielt vedligeholdelsessæt med en brugsanvisning og en taske, der gør det nemt at tage dem med overalt. Alt er produceret og designet med genanvendelige og bæredygtige materialer.
For dig
Med hver behandlingsenhed (RT) modtager du en æske med aligners til det pågældende kvartal, korrekt mærket sammen med de nødvendige rapporter, så du kan følge behandlingens udvikling, når du modtager RT'erne.
En emballage, der er let at tage med