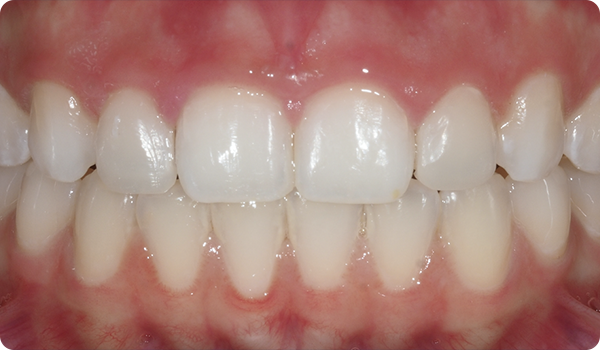
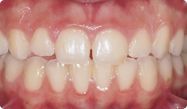
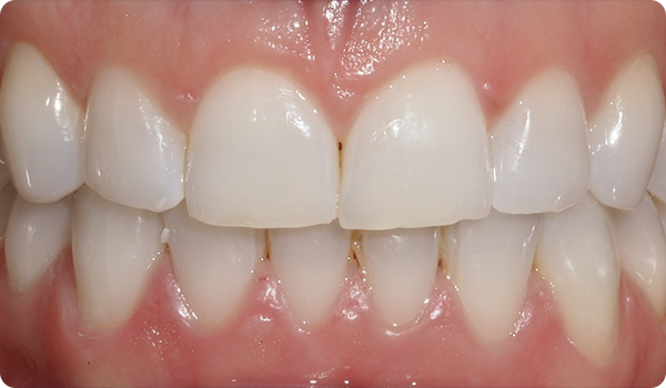
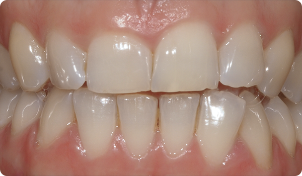
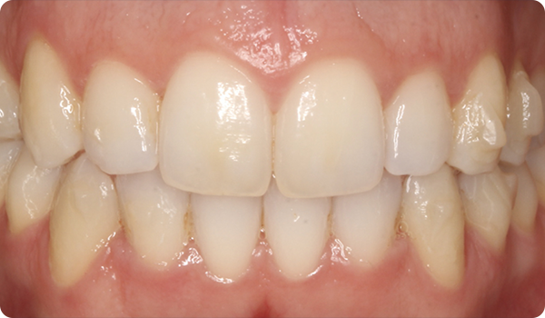
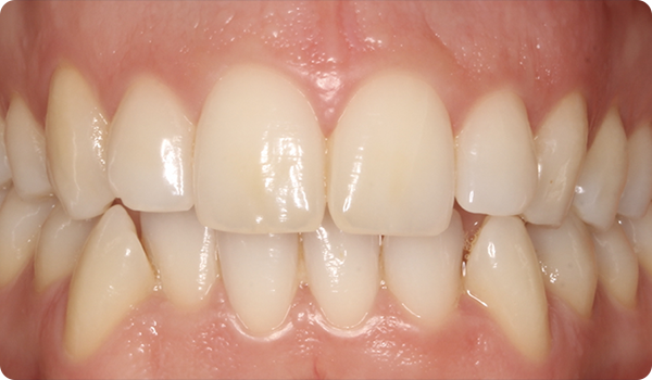
"Usynlig" planlagt og effektiv tannregulering, før estetiske løsninger. Right er vår første "kosmetiske" ortodontiske behandling. Den er designet slik at tannlegen, med støtte fra Right Centre, og basert på pasientens nye smil-design, kan utføre presis regulering for å oppnå en så nøye planlagt og effektiv behandling som mulig.
Last ned Right-brosjyren.
Skift retning
Utviklet av protetikere. Med subtil regulering korrigerer Right feilstillinger og forbereder den mest egnede og konservative estetiske behandlingen for dine pasienter.
En plan til din tjeneste
Behandlingen er utformet for å gjennomføres uten komplikasjoner, henvisninger eller langvarige prosesser. Right Centre består av ortodontister og et spesialisert teknisk rådgivningsteam som gir kontinuerlig støtte.
Forutsigbarhet
Takket være digital behandlingsplanlegging og -oppfølging er protokollene tydelige og enkle å følge. Komplikasjoner unngås, noe som gjør det mulig å validere behandlingsforløpet og vurdere eventuelle avvik fra forventede resultater og tidsrammer.
Behandling utført med støtte fra Right Centre, Right Trimester behandlingsenhet, Kvartalsvis oppfølgingsbesøk for å sikre en vellykket behandling.


RM
Right Month
Opptil 1 måned. Brukes for finjusteringer.


R1
Opptil 3 måneder.
Enkle behandlinger: Lette bevegelser opptil 1 mm og 15º rotasjon.


R2
Opptil 6 måneder.
Enkle behandlinger: Lette bevegelser opptil 2 mm og 30º rotasjon.


R3
Opptil 9 måneder.
Milde behandlinger: Lette bevegelser opptil 3 mm og 40º rotasjon.


R4
Opptil 12 måneder.
Milde behandlinger: Lette bevegelser opptil 3 mm og 50º rotasjon.
RR
Right Retainer
Avtakbar retainer for å fullføre behandlingen.

Arbeidsflyt
Klinikken sender tre bilder og STL-filen fra en skanning via Corus Link for å evaluere pasienttilfellet.
Utvurdering: Den innledende kostnadsoverslaget og behandlingsplanen* sendes innen fem til syv arbeidsdager etter mottak av bildene og STL-filen.
I denne fasen kan tannlegen, med støtte fra vårt team av ortodontiske planleggere, gjøre nødvendige justeringer før planen godkjennes.
* En avgift påløper for klinikken dersom behandlingen ikke gjennomføres.
Endelig plan og produksjon
Den endelig validerte planen, inkludert en rapport og videoer, genereres, og Right Centre starter produksjonen av behandlingen.
RT. Behandlingsenhet
Klinikken mottar Right Clinic Set for den første RT-en omtrent fem arbeidsdager etter godkjenning av behandlingen. De påfølgende RT-ene blir sendt til klinikken etter at oppfølgingssjekken fra forrige RT er mottatt.
Pasienten mottar også sitt Right Set ved starten av behandlingen.
Kvartalsoppfølging
Ved slutten av hver RT-behandlingsenhet, sender klinikken en skanning for å sjekke om behandlingen har blitt fullført. Dersom behandlingen er fullført, sender Right Centre den neste RT-en. Dersom behandlingen ikke er fullført, omstruktureres den gjenværende behandlingen for å sikre den planlagte varigheten av hele behandlingsforløpet
Sluttvurdering
Når den siste RT-en er fullført, sender klinikken en sluttoppfølging for å fullføre Right-behandlingen og gå videre til Right Retainer.
Right Retainer
Right Centre produserer det avtakbare retensjonssystemet Right Retainer, som sikrer at behandlingsresultatene bevares over tid.
Etter en Right-behandling er det viktig å bevare pasientens smil og forhindre at tennene forskyver seg tilbake til sin opprinnelige posisjon.
Den endelige oppfølgingen av Right-behandlingen gjør det mulig for oss å produsere retensjonssystemet, Right Retainer.
Din pasient mottar:



Smilet på plass
Med Right får pasientene det smilet de ønsker, innen ønsket tid, på en komfortabel og "usynlig" måte.
Start Right
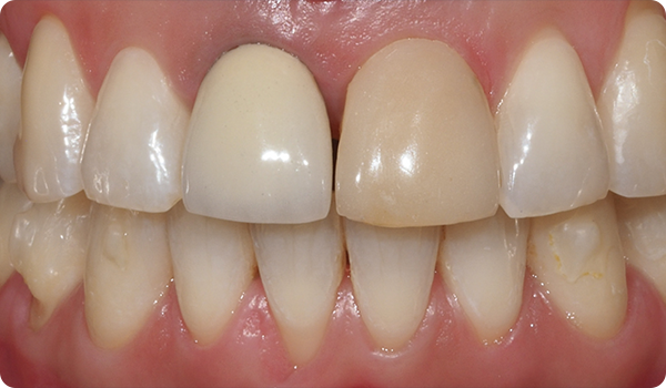
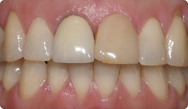
Å justere tennene med Right er den ideelle og mest skånsomme forberedelsen for fremtidig tannbleking eller fasettbehandlinger, noe som tar pasientens smil til perfeksjon.
Total tillit og garanti
Som tannlege er du den beste personen til å følge pasienten gjennom hele prosessen. Du er deres betrodde tannlege.
Full kontroll
Med Right Centre og det digitale arbeidsflytet har vi full kontroll over behandlingsutviklingen. Vi sikrer at behandlingsplanen følges og tilpasser den om nødvendig.
Informasjon til pasienten
Vi tilbyr brosjyrer som du kan gi til pasientene. Ved å lese dem får de en bedre forståelse av behandlingen, samtidig som de verdsetter behandlingen enda mer.
For din pasient
Pasienten mottar, sammen med sine Right-aligners: Et oppbevaringsetui. Et spesialtilpasset vedlikeholdssett med bruksanvisning. En praktisk veske for enkel transport. Alt er produsert og designet med resirkulerbare og bærekraftige materialer.
For deg
Med hver behandlingsenhet (RT) mottar du: En boks med aligners for det aktuelle kvartalet. Korrekt merking for enkel identifikasjon. Nødvendige rapporter for å følge behandlingens utvikling når du mottar RT-ene
En forpakning som er lett å ta med
Kontaktskjema