Right – diskret och effektiv ortodonti för estetiska behandlingar. Right är vår kosmetiska ortodontibehandling – utvecklad för att smidigt integreras i estetiska lösningar. Med stöd från Right Centre kan tandläkaren, baserat på det planerade resultatet, genomföra precisa tandrörelser för att uppnå ett förutsägbart och optimalt resultat. Planerat, osynligt och effektivt – precis som det ska vara.
Ladda ner Right-broschyren.
Change the switch
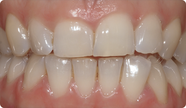
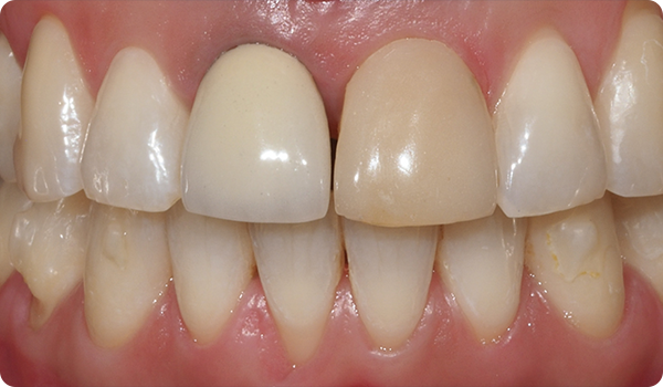
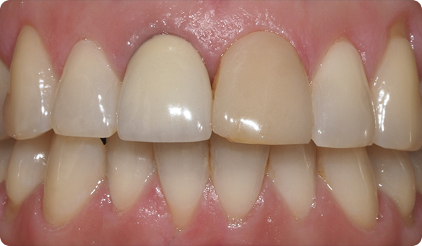
Med små rörelser korrigeras positioner och förbereder den mest lämpliga och konservativa estetiska behandlingen för dina patienter.
En plan till din tjänst
Behandlingen är utformad för att genomföras utan komplikationer, remisser eller långdragna processer, med permanent stöd från Right Centre, som består av ortodontister och ett specialiserat tekniskt rådgivningsteam.
Förutsägbar
Med en digital behandling som är noggrant planerad och kontrollerad, är protokollen tydliga och lätta att implementera. Inga komplikationer uppstår, vilket validerar behandlingens utveckling och eventuella avvikelser från förväntade resultat och tidsramar.
Tjänst som tillhandahålls av Right Centre, Right Trimester behandlingsenhet. Inkluderat med ett kvartalsvis uppföljningsbesök för att säkerställa en framgångsrik behandling.


RM
Right Month
Upp till en månad. Används för finjusteringar.


R1
Upp till 3 månader
Enkla behandlingar: Lätta rörelser upp till 1 mm och 15º rotation.


R2
Upp till 6 månader
Enkla behandlingar: Lätta rörelser upp till 2 mm och 30º rotation.


R3
Upp till 9 månader
Milda behandlingar: Lätta rörelser upp till 3 mm och 40º rotation.


R4
Upp till 12 månader
Milda behandlingar: Lätta rörelser upp till 3 mm och 50º rotation.
RR
Right Retainer
Avtagbar retainer för att slutföra behandlingen.

Arbetsflöde
Kliniken skickar tre bilder och STL-filen från en skanning via Corus Link för att utvärdera fallet.
Utvärdering: Vi skickar den initiala uppskattningen och planen* inom fem till sju arbetsdagar efter mottagandet av bilderna och STL-filen.
I detta skede gör tandläkaren, med stöd av vårt team av ortodontiska planerare, nödvändiga justeringar innan planen valideras.
* Planen medför en kostnad för kliniken om behandlingen inte genomförs.
Slutlig plan och tillverkning
Den slutgiltiga validerade planen, inklusive en rapport och videor, genereras och Right Centre startar tillverkningen av behandlingen.
RT. Behandlingsenhet
Kliniken mottar Right Clinic Set för den första RT ungefär fem arbetsdagar efter godkännandet av behandlingen. Efterföljande RTs tills behandlingen är avslutad skickas till kliniken efter att check-up från föregående RT har mottagits.
Patienten får även sitt Right Set i början av behandlingen.
Kvartalsuppföljning
Vid slutet av varje RT, skickar kliniken en skanning för att kontrollera om behandlingsenheten har slutförts. Om ja, skickar Right Centre nästa RT; om nej, omplaneras den återstående behandlingen för att säkerställa den planerade varaktigheten av hela behandlingen.
Slutlig granskning
När den sista RT är avslutad, skickar kliniken den slutliga uppföljningen för att avsluta Right-behandlingen och fortsätta med Right Retainer.
Right Retainer
Right Centre tillverkar det avtagbara retentionssystemet, Right Retainer.
Efter en Right-behandling måste vi bevara patientens leende och förhindra att tänderna återgår till sin tidigare position.
Den slutliga uppföljningen av Right-behandlingen gör det möjligt för oss att tillverka retentionssystemet, Right Retainer.
Din patient får:



Leenden på plats
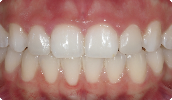
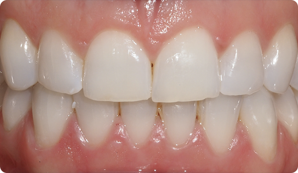
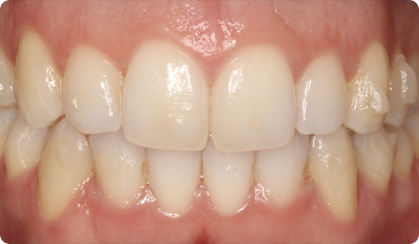
Med Right får dina patienter det leende de önskar, inom den tid de vill, på ett bekvämt och ”osynligt” sätt.
Starta Right
Att justera tänder med Right är den perfekta och mest konservativa grunden för framtida blekning eller facettbehandlingar som kommer att föra patientens leende till perfektion.
Total förtroende och garanti
Det finns ingen bättre än du för att följa med dina patienter genom alla nödvändiga behandlingar för ett nytt leende. Du är deras betrodda tandläkare.
Allt under kontroll
Med Right Centre och det digitala arbetsflödet har vi fullständig kontroll över utvecklingen av ortodontibehandlingen, vilket garanterar de fastställda tiderna eller, om nödvändigt, justera dem i förväg.
Informationen
Vi tillhandahåller broschyrer som du kan ge till dina patienter. Genom att läsa dem får de en bättre förståelse för och högre värde av behandlingen.
För din patient
Tillsammans med sina Right-aligners får dina patienter ett förvaringsetui, ett speciellt underhållskit med bruksanvisning och en väska som gör det enkelt att ta med dem var som helst. Allt är tillverkat och designat med återvinningsbara och hållbara material.
För dig
Med varje behandlingsenhet (RT) får du en låda med aligners för det kvartalet, korrekt märkt tillsammans med de nödvändiga rapporterna för att följa behandlingens utveckling när du tar emot RT:erna.
En förpackning som är lätt att ta med
Kontaktformulär