Conocemos tus retos. Ilum® está diseñada para solucionarlos.
Desde los ajustes en sillón hasta las fracturas y problemas de adaptación, Ilum® aborda las complicaciones más habituales en restauraciones sobre implantes, coronas y puentes, con precisión digital, menos repeticiones y resultados clínicamente probados en los que puedes confiar.
La mayoría de los tratamientos restauradores requieren ajustes oclusales en la consulta, y cada uno puede ocupar hasta 30 minutos de tiempo clínico1. Cada visita extra para ajustar puede reducir hasta un 29% el beneficio de una corona2.
1. Davis, M. C. & Shariff, S. S. Success and Survival of Endodontically Treated Cracked Teeth with Radicular Extensions: A 2- to 4-year Prospective Cohort. J Endod 45, 848–855 (2019).
2. DIG Insights. Single-Unit Crown Restorations Study: United States, Germany, and China. Research report. August 2024. N=368.
Ilum® ofrece una oclusión predecible mediante protocolos digitales validados y librerías personalizadas — reduciendo al mínimo los ajustes, ahorrando tiempo y protegiendo tu rentabilidad.
de las restauraciones de zirconio estratificado presenta complicaciones3, y los desconchados son la principal causa de rehacer coronas de zirconio.
3. Tajti, P., Zajzon, G., Zsáry, A., Márton, K., & Borbély, J. (2024). Monolithic zirconia vs. metal-ceramic implant crowns: A systematic review and meta-analysis. The Journal of Prosthetic Dentistry, 132(5), 881–889. https://doi.org/10.1016/j.prosdent.2023.08.013
Ilum® emplea zirconio monolítico de formulación exclusiva, sin estratificación, eliminando interfaces débiles y garantizando fiabilidad estructural a largo plazo.
Problemas de ajuste pasivo en casos complejos: los flujos no digitales aumentan el riesgo de aflojamiento de tornillos y fallos biomecánicos.
Ilum® integra escaneo, interfaz y verificación del ajuste para asegurar resultados sin tensión y máxima precisión, incluso en rehabilitaciones de arcada completa.
Descubre Ilum®: la nueva solución de zirconio monolítico 100% digital de Corus.
Precisión y predictibilidad
de siguiente nivel
Resultados previsibles y ajuste superior, caso tras caso.
Un flujo de trabajo digital completo —con pasos validados, verificación del escaneado y librerías dentales personalizadas— garantiza consistencia, ajuste exacto y confianza clínica en cada restauración.
Calidad y estética
de siguiente nivel
Resultados de aspecto natural, rendimiento a largo plazo y fiabilidad en cada caso.
Zirconio avanzado de formulación exclusiva y acabado por expertos certificados para lograr estética natural y restauraciones resistentes. Interfaces, herramientas de planificación y profesionales especializados elevan la precisión y ofrecen soporte en los casos más exigentes.
Eficiencia
de siguiente nivel
Menos tiempo de sillón, menos complicaciones y un flujo de trabajo más fluido.
Los sistemas Corus Link y Di-Flow optimizan la colaboración y acortan los tiempos de tratamiento. Las estrategias de fresado propias y los scan bodies garantizan un ajuste fiel y la repetibilidad del diseño planificado.
Un ajuste superior en cualquier situación
Ilum® no ofrece solo una, sino tres soluciones de zirconio monolítico 100% digitales, cada una diseñada para adaptarse a la complejidad clínica de tu caso, simplificar tu flujo de trabajo y optimizar los resultados.
Ilum® Gold
Prótesis de zirconio monolítico sobre implantes con interfaz totalmente personalizada y un flujo de trabajo digital 100% validado. Ajuste pasivo, estabilidad a largo plazo e integración estética de alto nivel.
Recomendada para:
Rehabilitaciones de arcada completa y restauraciones multi-implante
Casos que requieren control de angulación o personalización gingival
Situaciones biomecánicas u oclusales complejas
Ilum® Core
Opción de zirconio monolítico para implantes con Ti-bases de titanio Di-Flow® y flujo digital 100% validado. Ideal para restauraciones unitarias o puentes cortos.
Recomendada para:
Coronas unitarias y puentes implantosoportados de tramo corto
Odontólogos que buscan una solución de zirconio fiable y simplificada
Clínicas en transición hacia flujos de trabajo totalmente digitales
Ilum® Pearl
Restauraciones de zirconio monolítico diseñadas para dientes naturales. Adecuadas desde unidades individuales hasta rehabilitaciones completas.
Recomendada para:
Restauraciones sobre dientes naturales (una o varias piezas)
Profesionales que buscan tratamientos mínimamente invasivos
Pacientes que priorizan estética, función y preservación dentaria
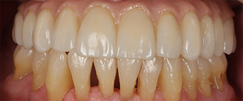
Casos reales, resultados reales
Descubre cómo Ilum® aporta resultados precisos y predecibles, con una estética natural, tanto en restauraciones unitarias como en rehabilitaciones completas de arcada.



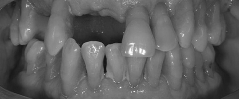
Dentista: Dr. Alvaro Pons
Edad: Paciente de edad avanzada
Motivo de consulta: “Tengo dificultad para masticar y quiero volver a sonreír con seguridad.”
Aspecto facial: Pérdida de soporte labial superior y retracción perioral.
Diagnóstico clínico:
Solución Ilum®:
Prótesis Ilum Gold – Zirconio monolítico para arcada completa
¿Te suena?
Estos son algunos casos en los que Ilum® puede ayudarte.
Con Ilum by Corus ofrecemos algo más que un producto: brindamos una solución integral.
Nuestro protocolo digital, liderado por expertos certifi cados por Corus, garantiza:
Experimenta la precisión de siguiente nivel con Ilum®.
Contacta con nosotros
Con Ilum, la eficiencia es fruto de la estructura, no de los atajos.
Nuestro flujo totalmente digital, guiado por expertos, anticipa complicaciones antes de que aparezcan, reduciendo los ajustes en sillón y mejorando la previsibilidad de los casos:
Experimenta la eficiencia de siguiente nivel con Ilum®.
Contacta con nosotros
Con Ilum®, la estética y el rendimiento a largo plazo van de la mano.
Cada caso se realiza con zirconio monolítico de alta translucidez y formulación exclusiva, librerías dentales anatómicas propias y protocolos de acabado certificados, asegurando resultados que se ven y funcionan como dientes naturales:
Ilum® no es un compromiso: es un estándar que cumple todas las expectativas clínicas.
Experimenta la calidad de siguiente nivel con Ilum®.
Contacta con nosotros

Lleva tu práctica
al siguiente nivel con Ilum®
Contacto