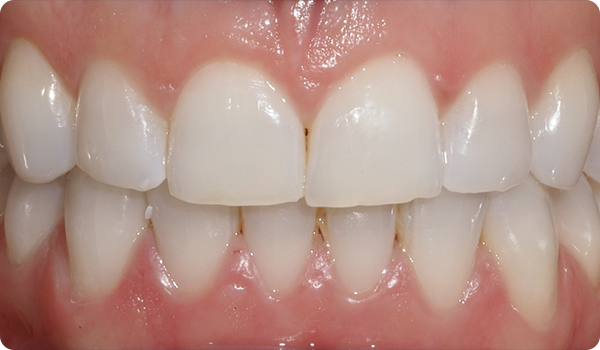
Une orthodontie invisible, planifiée et efficace, avant les solutions esthétiques. Right est le premier traitement orthodontique « cosmétique ». Conçu de manière à ce que le dentiste, avec le soutien du Right Center et à partir de la conception du nouveau sourire, puisse effectuer des mouvements précis pour obtenir la procédure de traitement la plus précise et la plus efficace possible.
Téléchargez la brochure Right.
Basculez vers le changement
Conçu pour les omnipraticiens. En effectuant de légers mouvements, il corrige les mauvaises positions et prépare le traitement cosmétique le plus approprié et le plus conservateur possible pour vos patients.
Une planification à votre service
Le traitement est conçu pour être réalisé sans complications, sans références et sans processus long, soutenu en permanence par le Right Center, composé d'orthodontistes et d'une équipe de techniciens conseils spécialisés.
Prévisible
Dans le cadre d'un traitement numérique parfaitement planifié et contrôlé, les protocoles sont clairs et faciles à mettre en œuvre. Aucune complication ne se manifeste grâce à une validation de l'évolution du traitement et de l'écart éventuel par rapport aux résultats et aux délais prévus.
Le service fourni par le Right Center, l'unité de traitement Right Trimester et un contrôle trimestriel pour un traitement réussi.


RM
Right Month
Jusqu’à un mois. Utilisé pour les perfectionnements.


R1
Jusqu’à 3 mois
Traitements simples : mouvements légers jusqu'à 1 mm et 15º de rotation.


R2
Jusqu’à 6 mois
Traitements simples : mouvements légers jusqu'à 2 mm et 30º de rotation.


R3
Jusqu’à 9 mois
Traitements légers : mouvements légers jusqu'à 3 mm et 40º de rotation.


R4
Jusqu’à 12 mois
Traitements légers : mouvements légers jusqu'à 3 mm et 50º de rotation.
RR
Appareil de rétention Right
Appareil de rétention amovible pour compléter le traitement.

Prescription
La clinique envoie trois photos et le fichier STL du scanner à travers Corus Link pour évaluer le cas.
Estimation : Nous envoyons le devis initial et le plan* de traitement dans les cinq à sept jours ouvrables suivant la réception des photos et du fichier STL.
À ce stade, le praticien, soutenu par notre équipe de planificateurs orthodontiques, apporte toutes les modifications nécessaires avant la validation du plan de traitement.
* La préparation du plan entraînera un coût pour la clinique au cas où le traitement ne serait pas effectué.
Plan de traitement définitif et fabrication
Le plan de traitement final validé, comprenant un rapport et des vidéos, est ensuite généré, puis le Right Center commence à fabriquer le traitement.
RT. Unité de traitement
La clinique reçoit le kit du Right Center pour le premier RT (environ cinq jours ouvrables après l'approbation du traitement). Les RT suivants, jusqu'à la fin du traitement, seront envoyés à la clinique après avoir reçu le bilan du RT précédent.
Les patients reçoivent leur kit Right au début du traitement.
Contrôle trimestriel
À la fin de chaque RT, la clinique envoie un scanner pour vérifier si l'unité de traitement a été complétée. Si c’est le cas, le Right center envoie le RT suivant. Si ce n'est pas le cas, le traitement restant est replanifié afin de garantir la durée prévue du traitement complet.
Vérification finale
Lorsque le dernier RT est terminé, la clinique envoie le contrôle final, ce qui permettra de terminer le traitement Right et de continuer avec l’appareil de rétention Right.
Appareil de rétention Right
Le Right Center fabrique le système de rétention amovible, l’appareil de rétention Right.
Après un traitement Right, nous devons préserver le sourire du patient et empêcher les dents de revenir à leur position antérieure.
Le contrôle final du traitement Right nous permet de fabriquer le système de rétention, Right Retainer.
Votre patient reçoit :



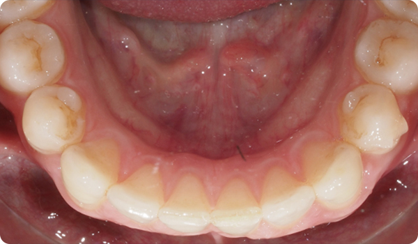
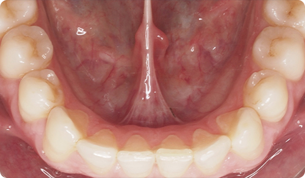
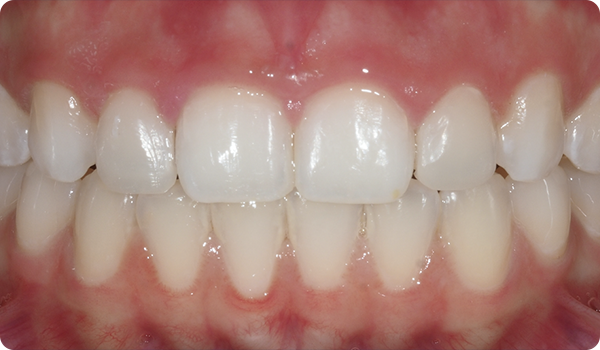
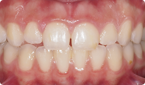
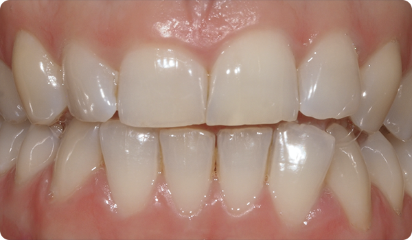
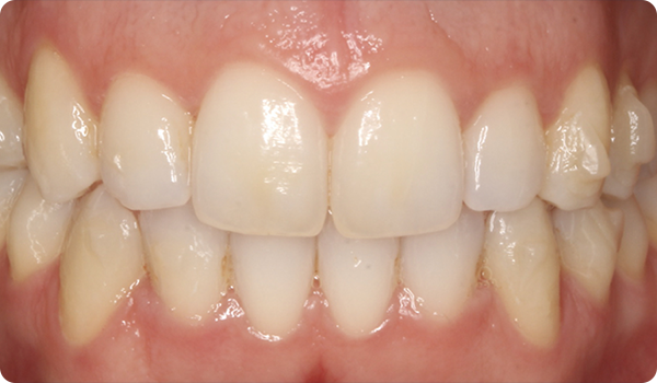
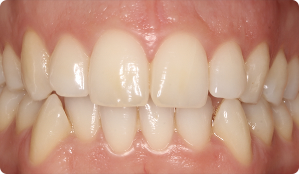
Sourires en place
Grâce à Right, vos patients obtiendront le sourire qu'ils souhaitent quand ils le souhaitent, de manière confortable et indétectable.
Commencez Right
L'alignement des dents avec Right est la solution parfaite et la plus conservatrice pour les futurs traitements de blanchiment ou de facettes. Elle apportera la perfection au sourire du patient.
Une confiance et une garantie absolues
Il n’y a personne de mieux que vous pour accompagner vos patients dans tous les traitements nécessaires à leur nouveau sourire. Vous êtes leur dentiste de confiance.
Tout est maîtrisé
Grâce au Right Center et au flux de travail numérique, nous contrôlons à tout moment l'évolution du traitement orthodontique, ce qui permet de garantir les délais fixés ou, au contraire, de les modifier à l'avance si cela s'avère nécessaire.
Les informations
Nous vous fournissons des brochures à distribuer à vos patients. Leur lecture permettra de mieux comprendre le traitement et de lui donner plus de valeur.
Pour votre patient
Grâce aux aligneurs Right, vos patients reçoivent un étui de rangement, un kit d'entretien spécial avec un mode d’emploi et un sac qui permet de les emporter partout. Tout est fabriqué et conçu avec des matériaux recyclables et durables.
Pour vous
Chaque unité de traitement (RT) est accompagnée d’une boîte contenant les aligneurs pour le trimestre en cour, dûment étiquetés, ainsi que les rapports nécessaires pour suivre l'évolution du traitement lorsque vous recevez les RT.
Un pack qui se déplace avec vous
Formulaire de contact