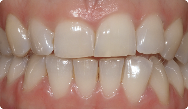
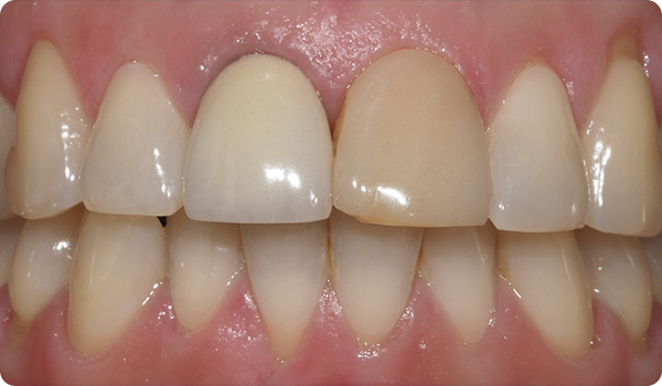
Ortodontia invisível, planeada e eficiente, antes das soluções estéticas. Right é o primeiro tratamento de ortodontia “cosmética”. Pensado para que o prostodontista, com o apoio do Centro Right e a partir do design do novo sorriso, realize os movimentos precisos para conseguir um procedimento o mais conservador e eficiente possível.
Transferir o folheto Right.
Faça o switch
Pensado para prostodontistas. Com leves movimentos, corrige as posições incorretas e prepara o tratamento cosmético mais adequado e conservador possível para os seus pacientes.
Um plano ao seu serviço
O tratamento foi concebido para ser levado a cabo sem complicações, sem ser preciso desviar ou prolongar o processo; com o apoio permanente do Centro Right, formado por ortodontistas e uma equipa técnica de assessoria especializada.
Previsível
Graças à planificação e ao controlo digital do tratamento, os protocolos são claros e fáceis de aplicar. Não há complicações, validando a evolução do tratamento e o possível desvio relativamente a resultados e tempos previstos.
O serviço que oferece o Centro Right, a unidade de tratamento Right Trimester e a realização de um check-up trimestral para um tratamento bem-sucedido.


RM
Right Month
Até um mês de duração. Indicado para aperfeiçoamentos.


R1
Até 3 meses
Tratamentos simples: movimentos leves de até 1 mm e 15º de rotação.


R2
Até 6 meses
Tratamentos simples: movimentos leves de até 2 mm e 30º de rotação.


R3
Até 9 meses
Tratamentos leves: movimentos leves de até 3 mm e 40º de rotação.


R4
Até 12 meses
Tratamentos leves: movimentos leves de até 3 mm e 50º de rotação.
RR
Right Retainer
Retenção removível para finalizar o tratamento.

Prescrição
A clínica envia três fotos e o ficheiro STL de um scanner através do Corus Link para avaliar o caso.
Avaliação: Enviamos o orçamento e a planificação* inicial entre cinco e sete dias úteis depois de receber as fotos e o STL.
Nesta fase, o odontologista, apoiado pela nossa equipa de ortodontistas, realiza todas as modificações necessárias até validar a planificação.
* A planificação tem um custo para a clínica caso o tratamento não seja realizado.
Planificação definitiva e fabrico
Gera-se a planificação validada definitiva, que inclui um relatório e vídeos e o Centro Right começa o fabrico do tratamento.
RT. Unidade de tratamento
A clínica recebe o Right Clinic Set correspondente ao primeiro RT aproximadamente cinco dias úteis após a aprovação do tratamento. Os RT posteriores até ao final do tratamento serão enviados para a clínica após receber o check-up do RT anterior.
Os RT posteriores até ao final do tratamento serão enviados para a clínica após receber o check-up do RT anterior.
Check-up trimestral
No final de cada RT, a clínica envia um exame para verificar se a unidade de tratamento está finalizada. Se sim, o Centro Right envia o RT seguinte; se não, o tratamento restante é novamente planificado para continuar a garantir a duração prevista do tratamento completo.
Revisão final
Quando o último RT estiver terminado, a clínica envia o último check-up, para terminar o tratamento Right e continuar com o Right Retainer.
Right Retainer
O Centro Right fabrica o sistema de retenção removível, o Right Retainer.
Após um tratamento Right, devemos manter o sorriso do paciente e evitar que os dentes regressem à sua posição anterior.
O check-up final do tratamento Right serve para fabricar o sistema de retenção, o Right Retainer.
O seu paciente recebe:



Sorrisos em ordem
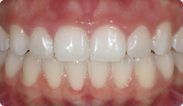
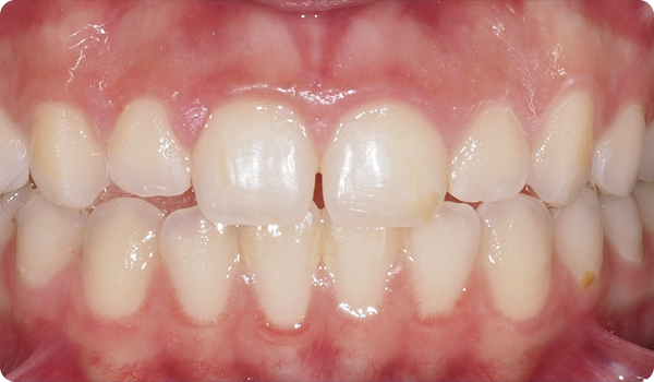
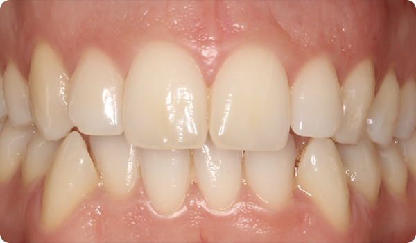
Com o Right, os seus pacientes conseguirão o sorriso que desejam no tempo desejado de uma forma cómoda e invisível.
Começar Right
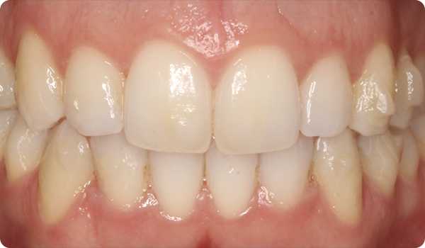
Alinhar os dentes com o Right é a base perfeita e mais conservadora para futuros tratamentos de branqueamento ou de colocação de facetas que levarão o sorriso do paciente à perfeição.
Confiança e garantia totais
Ninguém melhor do que você para acompanhar os seus pacientes através de todos os tratamentos necessários para um novo sorriso. Você é o seu dentista de confiança.
Tudo sob controlo
Com o Centro Right e o fluxo digital, teremos sempre um controlo preciso da evolução do tratamento ortodôntico, garantindo deste modo os tempos estabelecidos ou, pelo contrário, alterando-os antecipadamente, caso seja necessário.
A informação
Colocamos à sua disposição panfletos para distribuir pelos seus pacientes. A sua leitura ajudará a compreender melhor e a aumentar o valor do tratamento.
Para o seu paciente
Os alinhadores Right são entregues aos seus pacientes num estojo para serem guardados, um kit especial de manutenção com instruções de uso e uma bolsa que permite levá-los onde for. Tudo isto produzido e pensado com materiais recicláveis e sustentáveis.
Para si
Com cada unidade de tratamento (RT), receberá uma caixa com os alinhadores para esse trimestre, devidamente etiquetados e em conjunto com os relatórios necessários para acompanhar a evolução do tratamento no momento de receção dos RT.
Um pack que se move consigo
Formulário de contacto