Wij begrijpen uw uitdagingen. Ilum® is ontworpen om ze op te lossen.
Van stoel-aanpassingen tot chipping en pasvormproblemen: Ilum® pakt de meest voorkomende complicaties in implantaatgedragen kroon- en brugwerk aan — met digitale precisie, minder correcties en klinisch bewezen resultaten waarop u kunt vertrouwen.
Veel restauratieve behandelingen vereisen occlusale aanpassingen aan de stoel, waarbij elke aanpassing tot 30 minuten klinische tijd kan kosten1. Elke afspraak voor een aanpassing kan tot 29% van de winst van een kroon doen verdwijnen2.
1. Davis, M. C. & Shariff, S. S. Success and Survival of Endodontically Treated Cracked Teeth with Radicular Extensions: A 2- to 4-year Prospective Cohort. J Endod 45, 848–855 (2019).
2. DIG Insights. Single-Unit Crown Restorations Study: United States, Germany, and China. Research report. August 2024. N=368.
Ilum® levert voorspelbare occlusie via gevalideerde digitale protocollen en aangepaste bibliotheken — waardoor de noodzaak voor correcties aanzienlijk vermindert, tijd wordt bespaard en uw winstgevendheid behouden blijft.
van de veneer (gefineerde) zirkonia-restauraties kent complicaties3. Chipping is de belangrijkste reden voor correcties bij zirkonia kronen
3. Tajti, P., Zajzon, G., Zsáry, A., Márton, K., & Borbély, J. (2024). Monolithic zirconia vs. metal-ceramic implant crowns: A systematic review and meta-analysis. The Journal of Prosthetic Dentistry, 132(5), 881–889. https://doi.org/10.1016/j.prosdent.2023.08.013
lum® gebruikt gepatenteerde monolithische zirkonia zonder layering — waardoor zwakke interfaces worden vermeden en langdurige structurele betrouwbaarheid wordt gegarandeerd.
Passieve pasvormproblemen in complexe casussen. Niet-digitale workflows vergroten het risico op het los raken van schroeven en biomechanisch falen.
Ilum® integreert scan-, interface- en pasvormvalidatie om spanningsvrije, nauwkeurige resultaten te verzekeren — zelfs bij volledige kaak restauraties.
Ontdek Ilum®: de nieuwe volledig digitale monolithische zirkonia-oplossing van Corus.
Next-level
Precisie & Voorspelbaarheid
Voorspelbare resultaten en een perfecte pasvorm, elke keer weer.
Een volledig digitale workflow met gevalideerde stappen, scanvalidatie en aangepaste tandbibliotheken zorgt voor consistentie, een nauwkeurige pasvorm en klinisch vertrouwen in elke behandeling.
Next-level
Kwaliteit & Esthetiek
Natuurlijk ogende resultaten, langdurige prestaties en vertrouwen in elke behandeling.
Geavanceerde gepatenteerde zirkonia en gecertificeerde techniekers leveren natuurlijke esthetiek en sterke restauraties. Interfaces, planningstools en gespecialiseerde professionals versterken de precisie en bieden ondersteuning bij veeleisende behandelingen.
Next-level
Efficiëntie
Kortere stoeltijd, minder complicaties en een vlottere workflow.
CorusLink en Di-flow optimaliseren de samenwerking en verkorten de behandeltijd. Gepatenteerde freesstrategieën en scanbodies garanderen pasvorm en reproduceerbaarheid van het geplande design.
Een perfecte pasvorm, ongeacht de situatie
Ilum® biedt niet één, maar drie volledig digitale monolithische zirkonia-oplossingen — elk ontworpen om zich aan te passen aan de klinische complexiteit van uw casus, terwijl uw workflow wordt gestroomlijnd en de resultaten worden verbeterd.
Ilum® Gold
Monolithische zirkonia-restauraties voor implantaten — met volledig gepersonaliseerde interfaces en een 100% digitale, gevalideerde workflow voor passieve pasvorm, langdurige stabiliteit en hoge esthetische integratie.
Aanbevolen voor:
Full-arch en multi-unit restauraties
Casussen waarbij hoekcorrectie of gingivale aanpassing nodig is
Complexe biomechanische en occlusale situaties
Ilum® Core
Monolithische zirkonia-optie voor implantaten — titanium Di-Flow® Ti-bases* en een 100% digitale, gevalideerde workflow. Ideaal voor solitaire kronen of kleinere bruggen.
Aanbevolen voor:
Solitaire kronen en kortere implantaatbruggen
Tandartsen die een betrouwbare, gestroomlijnde zirkonia-oplossing zoeken
Klinieken die de overstap maken naar volledig digitale workflows
Ilum® Pearl
Monolithische zirkonia-restauraties ontworpen voor natuurlijke tanden. Geschikt voor casussen van solitaire kronen tot volledige rehabilitaties.
Aanbevolen voor:
Restauraties op natuurlijke tanden (solitaire of meerdere eenheden)
Tandartsen die minimale invasieve behandelingen nastreven
Patiënten die esthetiek, functie en tandbehoud vooropstellen
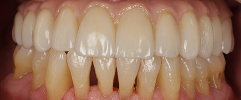
Echte Casussen, Echte Resultaten
Ontdek hoe Ilum® nauwkeurige, voorspelbare resultaten levert met natuurlijke esthetiek — bij alles van solitaire kronen tot volledige kaakrestauraties.



Dentist: Dr. Alvaro Pons
Leeftijd: Oudere patiënt
Hoofdklacht: “Ik heb moeite met eten en wil weer vol vertrouwen kunnen glimlachen.”
Gezichtsverschijning: Verlies van steun voor de bovenlip, periorale retractie.
Klinische diagnose:
Ilum-oplossing:
Ilum Gold prothese – volledige kaak monolithisch
Klinkt dit bekend?
Hier zijn enkele casussen waarin Ilum® kan helpen.
Met Ilum® van Corus bieden we meer dan een product — we bieden een complete oplossing.
Ons digitale protocol, geleid door gecertificeerde Corus-experts, zorgt voor:
Ervaar de next-level precisie van Ilum®.
Neem contact met ons op
Met Ilum® is efficiëntie het resultaat van structuur — niet van shortcuts.
Onze volledig digitale, expert-geleide workflow is ontworpen om complicaties te anticiperen voordat ze optreden, waardoor stoel-aanpassingen afnemen en de voorspelbaarheid van casussen toeneemt.
Ervaar de next-level efficiëntie van Ilum®.
Neem contact met ons op
Met Ilum® gaan esthetiek en langdurige prestaties hand in hand.
Elke casus wordt vervaardigd met hoogwaardige, door Corus gepatenteerde monolithische zirkonia, anatomische tandbibliotheken en gecertificeerde afwerkingsprotocollen — voor resultaten die er uitzien en functioneren als natuurlijke tanden.
Ilum® is geen compromis — het is een standaard die aan alle klinische verwachtingen voldoet.
Ervaar de next-level kwaliteit van Ilum®.
Neem contact met ons op

Take your practice
to the next level with Ilum®
Contactformulier