Onzichtbare, geplande en efficiënte orthodontie, voorafgaand aan esthetische oplossingen. Right is de eerste 'cosmetische' orthodontische behandeling. Zo ontworpen dat de tandprotheticus, met de steun van het Right Center en uitgaande van het ontwerp van de nieuwe glimlach, de precieze bewegingen kan uitvoeren om een zo beheerst en efficiënt mogelijke procedure te bereiken.
Download de Right-brochure.
Maak de overstap
Ontworpen voor tandprothetici. Met lichte bewegingen corrigeert hij verkeerde posities en bereidt hij de meest geschikte en conservatieve cosmetische behandeling voor die mogelijk is voor je patiënten.
Een plan naar jouw wensen
De behandeling is ontworpen om te worden uitgevoerd zonder complicaties, verwijzingen of een lang proces; met de permanente ondersteuning van het Right Center, dat bestaat uit orthodontisten en een gespecialiseerd technisch adviesteam.
Voorspelbaar
Met een digitale behandeling die perfect gepland en gecontroleerd is, zijn de protocollen duidelijk en gemakkelijk uit te voeren. Er treden geen complicaties op, wat de evolutie van de behandeling en de mogelijke afwijking van de verwachte resultaten en tijden valideert.
De dienstverlening van het Right Center, de behandelunit Right Trimester en een driemaandelijkse controle voor een succesvolle behandeling.


RM
Right Month
Tot één maand. Gebruikt voor verfijningen.


R1
Tot 3 maanden
Eenvoudige behandelingen: lichte bewegingen tot 1 mm en een rotatie van 15°.


R2
Tot 6 maanden
Eenvoudige behandelingen: lichte bewegingen tot 2 mm en een rotatie van 30°.


R3
Tot 9 maanden
Lichte behandelingen: lichte bewegingen tot 3 mm en een rotatie van 40°.


R4
Tot 12 maanden
Lichte behandelingen: lichte bewegingen tot 3 mm en een rotatie van 50°.
RR
Right Retainer
Uitneembare retainer om de behandeling af te ronden.

Voorschrift
De praktijk stuurt drie foto's en het STL-bestand van een scan via Corus Link om de casus te beoordelen.
Beoordeling: Binnen vijf tot zeven werkdagen na ontvangst van de foto's en het STL-bestand sturen wij de eerste offerte en planning*.
In dit stadium voert de tandarts, ondersteund door ons team van orthodontische planners, eventuele noodzakelijke wijzigingen door voordat het plan wordt gevalideerd.
* Het maken van het plan brengt kosten met zich mee voor de praktijk indien de behandeling niet wordt uitgevoerd.
Definitief plan en productie
Het definitieve gevalideerde plan, inclusief een rapport en video's, wordt gegenereerd en het Right Center begint met de productie van de behandeling.
RT. Behandelunit
De praktijk ontvangt de Right Clinic Set voor de eerste RT ongeveer vijf werkdagen na goedkeuring van de behandeling. Latere RT's tot het einde van de behandeling worden na controle van de vorige RT naar de praktijk gestuurd.
De patiënt krijgt bij aanvang van de behandeling ook zijn Right Set.
Driemaandelijkse controle
Aan het eind van elke RT stuurt de praktijk een scan om te controleren of de behandelunit is voltooid. Zo ja, dan stuurt het Right Center de volgende RT; zo nee, dan wordt de resterende behandeling opnieuw gepland om de geplande duur van de volledige behandeling te garanderen.
Eindevaluatie
Als de laatste RT klaar is, stuurt de praktijk de laatste controle, om de Right behandeling af te ronden en verder te gaan met de Right Retainer.
Right Retainer
The Right Center produceert het verwijderbare retentiesysteem, de Right Retainer.
Na een Right- behandeling moeten we de glimlach van de patiënt in stand houden en voorkomen dat de tanden terugkeren naar hun vroegere positie.
De eindcontrole van de Right-behandeling stelt ons in staat het retentiesysteem, de Right Retainer, te vervaardigen.
Je patiënt ontvangt:



Glimlachen op zijn plaats
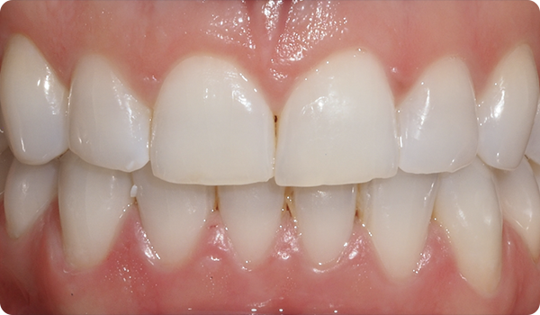
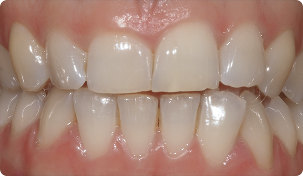
Met Right krijgen je patiënten de glimlach die ze willen in de tijd die ze willen, op een comfortabele en onopvallende manier.
Beginnen met Right
Het uitlijnen van de tanden met Right is de perfecte en meest conservatieve basis voor toekomstige whitening of fineerbehandelingen die de glimlach van de patiënt perfect maken.
Volledig vertrouwen en garantie
Jij bent de aangewezen persoon om je patiënten te begeleiden bij alle noodzakelijke behandelingen voor een nieuwe glimlach. Jij bent hun vertrouwde tandarts.
Alles onder controle
Met het Right Center en de digitale workflow hebben wij op elk moment de volledige controle over het verloop van de orthodontische behandeling, waardoor de vastgestelde tijden worden gegarandeerd of indien nodig vooraf worden gewijzigd.
De informatie
Wij voorzien je van folders om uit te delen aan je patiënten. Het lezen ervan zal helpen om de behandeling beter te begrijpen en meer waarde te geven.
Voor je patiënt
Je patiënten ontvangen bij hun Right-aligners een opbergdoosje, een speciale onderhoudskit met gebruiksinstructies en een tasje waarmee je ze overal mee naartoe kunt nemen. Alles is gemaakt en ontworpen met recyclebare en duurzame materialen.
Voor jou
Bij elke behandelunit (RT) ontvang je een doos met de aligners voor dat kwartaal, naar behoren gelabeld, samen met de nodige rapporten om de evolutie van de behandeling te volgen wanneer je de RT's ontvangt.
Een pakket dat met je meebeweegt
Contactformulier