We Know Your Challenges. Ilum® Is Designed to Solve Them.
From chairside adjustments to chipping and fit issues, Ilum® addresses the most common complications in implant and tooth-borne restorations — with digital precision, fewer remakes, and clinically proven results you can trust.
of treatments require chairside occlusal adjustments1, each taking up to 30 minutes of clinical time. Every adjustment visit can wipe out up to 29% of a crown’s profit2.
1. American Association of Endodontists. (n.d.). Cracked teeth: To treat or not to treat? Retrieved July 10, 2025, from https://www.aae.org/specialty/cracked-teeth-to-treat-or-not-to-treat/
2. Dentsply Sirona. (n.d.). Single-unit crown workflow: Opportunities to optimize efficiency in dental practice. Retrieved July 10, 2025, from https://www.dentsplysirona.com/en-us/discover/discover-by-topic/by-category/restorative/single-unit-crown-workflow-opportunities-to-optimize-efficiency-in-dental-practice.html
Ilum® delivers predictable occlusion through validated digital protocols and custom libraries — reducing the need for adjustments, saving time, and protecting your profitability.
of Veneer (stratified) zirconia restorations experience complications3. Veneer chipping is the #1 reason for remakes in zirconia crowns.
3. Tajti, P., Zajzon, G., Zsáry, A., Márton, K., & Borbély, J. (2024). Monolithic zirconia vs. metal-ceramic implant crowns: A systematic review and meta-analysis. The Journal of Prosthetic Dentistry, 132(5), 881–889. https://doi.org/10.1016/j.prosdent.2023.08.013
Ilum® uses proprietary monolithic zirconia with no layering — eliminating weak interfaces and ensuring long-term structural reliability.
Passive-fit issues in complex cases. Non-digital workflows increase the risk of screw loosening and biomechanical failure.
Ilum® integrates scan, interface and fit validation to ensure tension-free, accurate results — even in full-arch restorations.
Discover Ilum®: the new fully digital monolithic zirconia solution by Corus.
Next-level
Precision and Predictability
Predictable outcomes and superior fit, case after case.
A complete digital workflow with validated steps, scan validation, and custom tooth libraries ensures consistency, accurate fit, and clinical confidence in every case.
Next-level
Quality & Esthetics
Natural-looking results, long-term performance, and confidence in every case.
Advanced proprietary zirconia and certified finishers deliver natural esthetics and strong restorations. Interfaces, planning tools and specialized professionals boost precision and support in demanding cases.
Next-level
Efficiency
Shorter chair time, fewer complications, and a smoother workflow.
CorusLink and Di-flow systems optimize collaboration and cut treatment time. Proprietary milling strategies and scan bodies ensure fit and replicability of the planned design.
A superior fit no matter the situation
Ilum® offers not just one, but three fully digital monolithic zirconia solutions — each designed to adapt to the clinical complexity of your case, while streamlining your workflow and enhancing outcomes.
Ilum® Gold
Monolithic zirconia prostheses for implants — fully customized interface and a 100% digital, validated workflow for passive fit, long-term stability, and high aesthetic integration.
Recommended for:
Full-arch and multi-unit restorations
Cases requiring angulation control or gingival customisation
Complex biomechanical and occlusal situations
Ilum® Core
Monolithic zirconia option for implants - titanium Di-Flow® Ti-bases and implant-branded Ti-bases, in a 100% digital, validated workflow. Ideal for single restorations or smaller bridges.
Recommended for:
Single crowns and short-span implant bridges
Dentists looking for a reliable, streamlined zirconia solution
Clinics transitioning to full digital workflows
Ilum® Pearl
Monolithic zirconia restorations designed for natural teeth. Suitable for cases ranging from single restorations to full rehabilitations.
Recommended for:
Restorations on natural teeth (single or multiple units)
Clinicians seeking minimally invasive treatments
Patients who prioritise aesthetics, function and tooth preservation
Real Cases, Real Results
Discover how Ilum® delivers precise, predictable outcomes with natural aesthetic — in everything from single units to full-arch restorations.



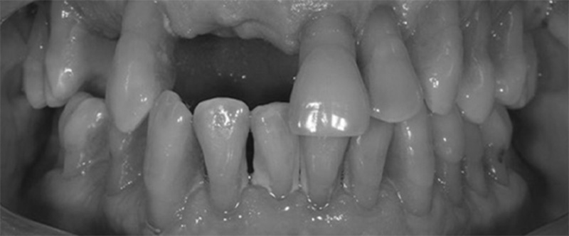
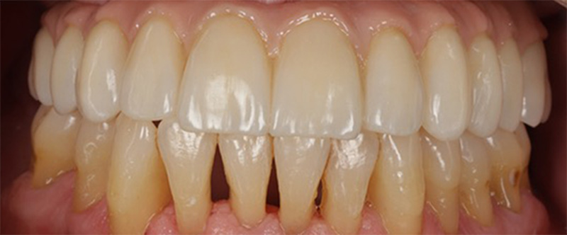
Dentist: Dr. Alvaro Pons
Age: Elderly patient
Main complaint: “I have difficulty eating and would like to smile with confidence again.”
Facial appearance: Loss of upper lip support, perioral retraction.
Clinical Diagnosis:
Ilum® Solution:
Ilum® Gold prosthesis: Full-arch monolithic zirconia
Sound familiar?
Here are some cases where Ilum® can help.
With Ilum® by Corus, we offer more than a product — we offer a complete solution.
Our digital protocol, led by Corus-certified experts, ensures:
Experience the next-level precision of Ilum®.
Contact us
With Ilum®, efficiency is the result of structure — not shortcuts.
Our fully digital, expert-guided workflow is designed to anticipate complications before they happen, reducing chairside adjustments and improving case flow predictability.
Experience the next-level efficiency of Ilum®.
Contact us
With Ilum®, esthetics and long-term performance go hand in hand.
Every case is crafted using high-translucency proprietary monolithic zirconia, proprietary anatomical tooth libraries, and certified finishing protocols — ensuring results that look and function like natural teeth.
Ilum® isn’t a trade-off — it’s a standard that meets all clinical expectations.
Experience the next-level quality of Ilum®.
Contact us

Take your practice
to the next level with Ilum®
Contact form